Хондроматоз коленного сустава, как заболевание, можно отнести к особой группе хронических патологий, вызывающих перерождение небольших участков синовиальной оболочки в хрящ или кость. Подобный процесс становится причиной доброкачественного образования, величина которого может быть, как небольшой, от пары миллиметров, так и более крупной до 5 см.
Читайте также — Электрофорез с новокаином.
Виды хондроматоза
Хондроматоз встречается не очень часто, по большей части им страдают мужчины среднего возраста. Намного реже отмечаются случаи, когда хондроматоз поражает новорожденных малышей. Современная медицина выделяет два вида заболевания – врожденный хондроматоз и приобретенный. В первом случае причиной становится неправильная дифференциация клеток, которая происходит еще на стадии формирования сустава. Хондроматоз, может быть единственной аномалией, которая возникает по причине неправильного развития, а может наблюдаться хондроматоз в сочетании с иными дефектами.
Что касается приобретенного хондроматоза, то он появляется под влиянием разных внешнего плана факторов, которые провоцируют патологические, а также биохимические процессы. Все это автоматически приводит к перерождению клеток, относящихся к синовиальной оболочке в костные, а также хрящевые структуры.
Распределение патологии можно разделить еще на два типа – доброкачественный хондроматоз и злокачественный. Заболевание классифицируется по характеру течения патологии – есть прогрессирующая и стабильная форма. Во втором случае отмечается присутствие единичных тел, количество которых может колебаться от 10 до 25 штук. В процесс стабильного развития новые тела совсем не образуются или появляются очень медленно. При прогрессирующей форме во внутренней части сустава можно насчитать до сотни образований.
Читайте также: Как блефаропластика верхних век может изменить ваш взгляд на жизнь: обзор процедуры и результатов
Врачи отмечают, что хондроматоз коленного сустава требует индивидуального подхода к лечению. Основной целью терапии является уменьшение болевого синдрома и восстановление функции сустава. В начальных стадиях заболевания часто применяются консервативные методы, такие как физиотерапия и медикаментозное лечение, включая нестероидные противовоспалительные препараты. Однако, при прогрессировании болезни и наличии крупных хондроматозных образований, может потребоваться хирургическое вмешательство. Врачи подчеркивают важность ранней диагностики, так как это значительно повышает шансы на успешное восстановление. После операции реабилитация играет ключевую роль в возвращении пациента к активной жизни. Специалисты рекомендуют регулярные осмотры и соблюдение рекомендаций по физической активности для предотвращения рецидивов.

Причины и признаки патологии
Хондроматоз часто возникает по причине нарушений, происходящих в процессе внутриутробного развития плода. Одновременно с этим развитие патологии часто провоцируется давними и совершенно новыми травмами коленных суставов. Также причиной хондроматоза может стать особенность профессиональной деятельности, которая ежедневно сопряжена с достаточно высокими нагрузками на ноги.
Говоря о симптомах патологии, можно отметить, что начальная стадия может никак не проявляться. Чем больше развивается хондроматоз, тем более ярко она проявляется. Среди самых распространенных признаков такой патологии, как хондроматоз, можно отметить:
- Боль;
- Сустав становится больше;
- Полная или частичная ограниченность.
Хондроматоз развивается достаточно медленно. Изначально появляются небольшие и крупные по размеру узлы в области коленного сустава, а также большого количества маленьких узелков, которые вызывают хруст и болевые ощущения.
Одновременно с нарастанием признаков, отметить можно деформацию колена.
Сустав может быть увеличен в своих размерах, он сильно отекает, на его фоне может быть отмечено небольшое снижение активности, а также ограниченность в процессе движения.
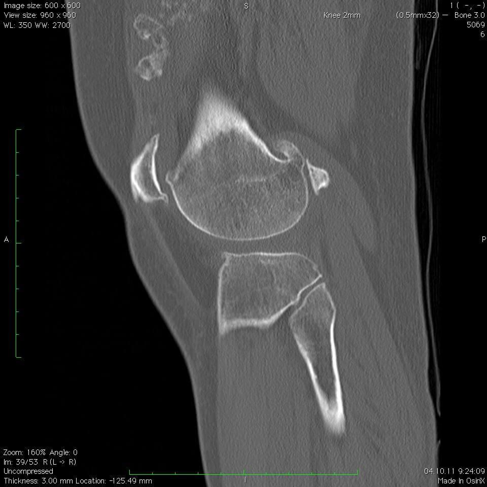
Особенности диагностики
Постановка точного диагноза основывается на особых клинических проявлениях, а также на результатах проведенного инструментального обследования. Специалист в процессе исследования патологии и ее диагностики назначает такие процедуры, как:
- Рентгенография, в процессе которой делается снимок сустава. При наличии данного заболевания на нем отмечаются образование в виде эллипса или шара;
- Рентгенограмма коленного сустава, которая дает возможность определить не только разные образования, находящиеся внутри сустава, а также можно выявить скопления соли и кальция;
- Ультразвуковая диагностика;
- Компьютерная и магниторезонансная томография.
Читайте также: Как определить где находится телефон по его номеру?
При необходимости проводятся разные дополнительные способы, позволяющие получить более точные детали о патологии – размеры образования, их расположение и количество. В особо сложных ситуациях врач может назначить диагностическую операцию. Сюда можно отнести такие процессы, как артроскопия или биопсия. Подобные процедуры дают возможность точно определить присутствие хондромных тел, проводится анализ общего состояния суставных поверхностей, а также основной синовиальной оболочки.
Хондроматоз коленного сустава — это заболевание, которое вызывает значительное беспокойство у пациентов. Люди часто делятся своими впечатлениями о симптомах, таких как боль, отечность и ограничение подвижности. Многие отмечают, что диагностика может занять время, так как симптомы схожи с другими патологиями. В лечении акцент делается на консервативные методы: физиотерапия, медикаменты и инъекции гиалуроновой кислоты. Однако некоторые пациенты рассказывают о необходимости хирургического вмешательства, когда консервативные методы не приносят облегчения. Важно, чтобы лечение было индивидуализированным, и многие подчеркивают значимость консультации с опытным специалистом. Обсуждая свой опыт, люди также отмечают, что поддержка близких и активный образ жизни играют ключевую роль в процессе восстановления.

Основные правила лечения
Присутствие островковой острой метаплазии у синовиальной коленно суставной оболочки обычно требует быстрого хирургического вмешательства. Основной процесс лечения может характеризоваться, как малоинвазивный, а также это может быть профессиональное удаление оболочки синовиальной части сустава. Метод и объем операции прямо зависит от формы, а также от особенностей течения самой патологии. При постоянной форме данной патологии процесс полного устранения патологии может быть основан на специальном артроскопическом удалении образований.
На начальной стадии может быть назначена частичная синовэктомия. В этом случае эффективно удаляются особые метаплазированные островки, принадлежащие оболочке. При более запущенной стадии назначается более тщательное лечение. Это может быть артротомия или современная тотальная синовэктомия. Данные методы лечения опираются на необходимости полного предотвращения очередного обострения.
Вне зависимости от вида проведенного хирургического вмешательства, стоит соблюдать определенное послеоперационное поведение. Это определенный комплекс мероприятий, которые направлены на полное восстановление движения и основных функций, происходящих в коленном суставе. Максимально положительного результата можно достигнуть при внесении в свою жизнь грамотно разработанного физиотерапевтического лечения, сочетающегося с занятиями на тренажерах и с лечебной физкультурой.
Читайте также: Особенности хозяйственных латексных перчаток
Период реабилитации
В процессе реабилитации следует достигать такой основной цели, как нормализация кровотока в суставе, а также стимулирование нужного объема коленной синовиальной жидкости. Полностью восстановить здоровье можно при помощи таких мероприятий, как:
- Прогревание;
- Стандартная физиотерапия;
- Современные лазерные процедуры;
- Народные средства — компрессы.
В послеоперационное время стоит заниматься на тренажерах, оказывающих положительное влияние на полное восстановление тонуса колена.
Эффективно предупредить обострение можно только при помощи комплексного лечения. Тщательно выполнение всех рекомендаций профессионала позволит долгое время жить полноценной жизнью.

Подводя итоги
Хондроматоз коленного сустава оказывает отрицательное воздействие на основные физиологические процессы. В запущенных формах патологии тело отделяется и проникает в суставную мышцу. Хондроматоз в состоянии спровоцировать сильное защемление в области сустава, отчего появляется сильная внутрисуставная травматизация . Чтобы оградить себя от развития такого заболевания, как хондроматоз, важно соблюдать определенные профилактические меры. Среди самых основных правил жизни можно отметить борьбу с лишним весом, а также важно чередовать физическую активность и отдых.
Вопрос-ответ
Можно ли вылечить остеохондроз коленного сустава?
В настоящее время полностью вылечить артроз коленного сустава не возможно. Однако начав лечение на ранних стадиях заболевания, возможно на длительное время остановить прогрессирование разрушения хрящевой ткани сустава.
Какой врач лечит хондроматоз?
Лечением данного заболевания занимается: травматолог-ортопед На ней нарастают узелки, которые могут отрываться, уплотняться, вызывать боль, хруст и заклинивать суставы. Это заболевание довольно редкое, может поражать любой сустав, но чаще всего страдает именно коленный сустав.
Как остановить деформацию коленного сустава?
Основной способ лечения деформаций колена – корригирующая остеотомия. Врачи проводят вмешательство на костной ткани, чтобы выровнять ось нижней конечности. После операции нагрузка равномерно распределяется на разные части сустава, поэтому прогрессирование остеоартроза прекращается.
Что такое хондромное тело в коленном суставе?
Хондромное тело – хрящевое образование, которое свободно располагается в суставе или прикреплено к синовиальной оболочке. Его наличие приносит сильную боль человеку, ограничивает движение сочленения, «клинит». Диагностируется патология путем сбора жалоб пациента, проведения аппаратного обследования.
Советы
СОВЕТ No1
Обратитесь к врачу при первых симптомах. Если вы заметили боль, отек или ограничение подвижности в коленном суставе, не откладывайте визит к специалисту. Раннее обращение поможет избежать осложнений и начать лечение на ранней стадии.
СОВЕТ No2
Следите за своим весом. Избыточная масса тела создает дополнительную нагрузку на коленные суставы, что может усугубить симптомы хондроматоза. Поддержание здорового веса поможет снизить нагрузку и улучшить общее состояние суставов.
СОВЕТ No3
Регулярно выполняйте физические упражнения. Укрепление мышц вокруг коленного сустава и поддержание его подвижности с помощью легких упражнений могут помочь в управлении симптомами. Однако обязательно проконсультируйтесь с врачом о подходящих для вас упражнениях.
СОВЕТ No4
Изучите методы физиотерапии. Физиотерапевт может предложить индивидуальную программу лечения, включая массаж, мануальную терапию и специальные упражнения, которые помогут улучшить состояние коленного сустава и уменьшить болевые ощущения.





